Índice de Contenidos
- 1 Prognatismo y maloclusión de clase III: descripción, etiología y consideraciones clínicas
- 1.1 Causas y factores de riesgo del prognatismo
- 1.2 Efectos del prognatismo en la salud bucodental y la estética facial
- 1.3 Tratamiento temprano de la maloclusión clase III en pacientes en crecimiento
- 1.4 Tratamiento de la maloclusión clase III en adultos
- 1.5 Bibliografía
- 1.6 About the Author: Dr. Fernando de la Iglesia Beyme
Prognatismo y maloclusión de clase III: descripción, etiología y consideraciones clínicas
El prognatismo es una condición craneofacial caracterizada por una posición adelantada de uno de los maxilares, con mayor frecuencia la mandíbula, en relación con el maxilar superior. Esta variación estructural modifica la relación anteroposterior del complejo maxilofacial y puede influir en la alineación de los dientes, en los patrones de oclusión y en la manera en que se distribuyen las fuerzas durante las funciones orales habituales. En el análisis clínico, esta configuración puede observarse como una modificación del perfil facial, particularmente en el tercio inferior de la cara, y puede estar asociada a distintos patrones de crecimiento esquelético.
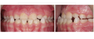
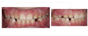
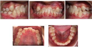
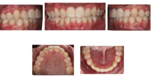
En ortodoncia Barcelona, explicamos que en ortodoncia, la maloclusión de clase III describe una relación oclusal en la que los dientes inferiores se sitúan por delante de los superiores durante la mordida habitual. Aunque se asocia con frecuencia a una discrepancia esquelética entre el maxilar superior y la mandíbula, también pueden intervenir elementos dentarios o funcionales. Desde el punto de vista diagnóstico, esta relación puede manifestarse tanto en la posición relativa de los molares y caninos como en variables cefalométricas. La apariencia facial resultante puede incluir una percepción de mayor proyección mandibular, que puede deberse a un desarrollo mandibular aumentado, a un desarrollo maxilar reducido o a la combinación de ambas condiciones.

La maloclusión de clase III puede originarse por tres mecanismos esqueléticos principales:
- Deficiencia maxilar: el maxilar superior presenta un desarrollo insuficiente durante el crecimiento, lo que altera la relación entre ambas arcadas.
- Exceso de crecimiento mandibular: la mandíbula experimenta un desarrollo mayor del esperado, generando una discrepancia en sentido anteroposterior.
- Interacción de ambas situaciones: coexistencia de un crecimiento mandibular aumentado y un menor desarrollo del maxilar superior.
Históricamente, se consideraba que la mayoría de los casos de clase III estaban relacionados con un crecimiento mandibular incrementado. Sin embargo, estudios posteriores han mostrado que en numerosos pacientes existe un componente maxilar con menor desarrollo relativo. Esta reinterpretación ha permitido entender mejor las variaciones clínicas observadas y ajustar los enfoques diagnósticos y terapéuticos.
Las maloclusiones de clase III pueden encontrarse tanto en pacientes en crecimiento como en adultos. La etapa del desarrollo esquelético condiciona de manera directa las posibilidades terapéuticas.
Índice de Contenidos
Causas y factores de riesgo del prognatismo
El prognatismo puede tener un origen multifactorial basado en la interacción entre factores genéticos, ambientales y funcionales. Entre las causas descritas se incluyen:
- Herencia genética: las características craneofaciales pueden mostrar patrones hereditarios. La presencia de discrepancias esqueléticas o de una maloclusión de clase III en uno o ambos progenitores puede asociarse a una mayor probabilidad de expresión en la descendencia, con variabilidad en su intensidad.
- Alteraciones congénitas: ciertas variaciones en la formación o crecimiento de los huesos maxilares pueden influir en la relación entre maxilar superior y mandíbula desde etapas tempranas.
- Hábitos orales durante la infancia: prácticas como la succión digital prolongada, el uso continuado del chupete o patrones funcionales repetidos como el empuje lingual pueden influir en el desarrollo de las arcadas, especialmente cuando se producen durante periodos sensibles del crecimiento craneofacial.
- Trastornos hormonales o metabólicos: algunas alteraciones endocrinas o metabólicas pueden relacionarse con diferencias en la simetría o ritmo del crecimiento esquelético.
Además de estos factores, pueden intervenir:
- Traumatismos faciales en edad de crecimiento, que pueden modificar la trayectoria de desarrollo del hueso afectado.
• Variaciones en la velocidad de crecimiento entre maxilar y mandíbula, particularmente durante la pubertad, cuando ambos huesos pueden desarrollarse a ritmos distintos.
• Determinados patrones funcionales, como modificaciones en la masticación o respiración oral persistente, que en algunos casos pueden influir sobre el posicionamiento dentario y esquelético.
Efectos del prognatismo en la salud bucodental y la estética facial
El prognatismo puede asociarse a diferentes manifestaciones orales y funcionales. Entre los efectos descritos se encuentran:
- Dificultades masticatorias y fonatorias: la relación alterada entre las arcadas puede modificar la forma en que se distribuyen las fuerzas durante la masticación o influir en la producción de ciertos sonidos.
- Desgaste dental irregular: el contacto desigual entre dientes puede generar fricción repetida en determinadas zonas, favoreciendo desgastes localizados o sensibilidad dental.
- Manifestaciones temporomandibulares (ATM): algunas personas pueden presentar ruidos articulares, molestias o limitaciones funcionales en movimientos mandibulares. La expresión clínica puede variar de un individuo a otro.
- Cambios gingivales: la distribución distinta de fuerzas oclusales puede asociarse a inflamación o retracción gingival en localizaciones específicas.
- Aspectos psicosociales: en determinados casos, la percepción individual de la apariencia facial o de la función oral puede influir en aspectos relacionados con la autopercepción o la interacción social.
Tratamiento temprano de la maloclusión clase III en pacientes en crecimiento
El diagnóstico precoz de este tipo de discrepancia maxilofacial permite aplicar intervenciones durante la etapa de crecimiento, momento en el que aún es posible influir en el desarrollo esquelético antes de que finalice el crecimiento y las modificaciones ortopédicas pierdan eficacia. En los casos más leves o en aquellos en los que todavía puede guiarse el crecimiento del maxilar superior (como ocurre en niños y adolescentes) se pueden emplear tratamientos ortopédicos orientados a proyectar el maxilar hacia delante mediante diferentes modalidades:
- Disyuntor maxilar y máscara facial con elásticos que proyectan el maxilar.
Este tratamiento se basa en la expansión del maxilar superior mediante la separación de la sutura intermaxilar y en la aplicación de fuerzas orientadas hacia delante mediante una máscara facial y elásticos fijados al disyuntor. Su utilización requiere la colaboración del paciente para el uso continuado del dispositivo extraoral.
Debido a que el disyuntor se cementa sobre los dientes, además del avance del maxilar pueden producirse efectos dentarios asociados, como la proinclinación de los incisivos superiores y la mesialización de la arcada superior, derivados de la transmisión de las fuerzas aplicadas durante la tracción anterior.



- Disyuntor maxilar con anclaje esquelético y con elásticos que proyectan el maxilar sin proinclinar los incisivos superiores.
Este tipo de tratamiento utiliza microtornillos y/o miniplacas para proporcionar un anclaje directo al hueso, de modo que las fuerzas aplicadas se transmiten principalmente a las estructuras esqueléticas. Tras la expansión maxilar y la aplicación de tracción anterior, este enfoque permite reducir los efectos dentarios asociados, como la proinclinación de los incisivos superiores y la mesialización de la arcada.


Existen diversas configuraciones descritas para aplicar este tipo de anclaje esquelético:
- Disyuntor con microtornillos y máscara facial.
- Disyuntor con microtornillos y miniplacas o microtornillos en la región anterior de la mandíbula (mentón) para la aplicación de elásticos dirigidos al avance del maxilar.
- Miniplacas en la zona maxilar posterior y anterior, que permiten la aplicación continua de fuerzas elásticas dirigidas al desplazamiento del maxilar sin efectos dentarios asociados.
Según la fase de crecimiento y el caso clínico, este tipo de anclaje puede facilitar un componente esquelético más marcado en la respuesta terapéutica.
Tratamiento de la maloclusión clase III en adultos
Una vez completado el crecimiento esquelético, las técnicas ortopédicas dejan de ser eficaces para modificar la relación maxilar–mandibular. En estos casos, las opciones terapéuticas se seleccionan en función de la magnitud de la discrepancia.
- Casos leves o moderados: pueden abordarse mediante compensación dentaria, incluyendo extracciones orientadas a modificar la relación anteroposterior entre las arcadas.
- Distalización mediante microtornillos: los dientes de la arcada inferior pueden desplazarse hacia posterior mediante dispositivos de anclaje temporal.
- Discrepancias esqueléticas marcadas: suelen requerir un enfoque combinado de ortodoncia y cirugía ortognática para modificar la posición relativa de los maxilares cuando no es posible alcanzar la relación adecuada mediante compensación dentaria.

La elección del abordaje depende del análisis cefalométrico, la relación esquelética y la funcionalidad de cada caso.
Bibliografía
- Tarraf NE, Dalci O, Dalci K, Altug AT, Darendeliler MA. A retrospective comparison of two protocols for correction of skeletal Class III malocclusion in prepubertal children: hybrid hyrax expander with mandibular miniplates and rapid maxillary expansion with face mask. Prog Orthod. 2023;24(1):3.
- De Clerck HJ, Cornelis MA, Cevidanes LH, Heymann GC, Tulloch CJF. Orthopedic Traction of the Maxilla With Miniplates: A New Perspective for Treatment of Midface Deficiency. J Oral Maxillofac Surg. 2009;67(10):2123–2129.
- De Clerck HJ, Proffit WR. Growth modification of the face: A current perspective with emphasis on Class III treatment. Am J Orthod Dentofacial Orthop. 2015;148(1):37–46.
- Auladell A, De la Iglesia F, Quevedo O, Walter A, Puigdollers A. The efficiency of molar distalization using clear aligners and mini-implants: Two clinical cases. Int Orthod. 2022;20(1).





